吉林省肿瘤医院“云影像”服务全面升级 影像报告无需跑,手机一键随时查
来源: 时间:2026-04-09 浏览: 次
亲爱的患者朋友及家属,您是否曾为查看CT报告与影像资料专程往返医院?是否想为医生展示片子,却找不到电子版?
现在,通过吉事办小程序,即可随时随地查阅您在吉林省肿瘤医院的医学影像检查及报告,告别线下跑腿,就医更便捷!
操作指南(5步完成)
1.打开微信,搜索“吉事办”
在微信顶部搜索框输入吉事办,进入官方小程序,请注意认准官方认证入口。

2.进入「我的」个人中心
进入小程序后,点击底部导航栏我的,进入个人中心页面。

3.找到并点击「医学影像」
在个人中心列表中,找到并点击医学影像模块。

4.查看报告与原始影像
在影像检查列表中,您可按需操作:
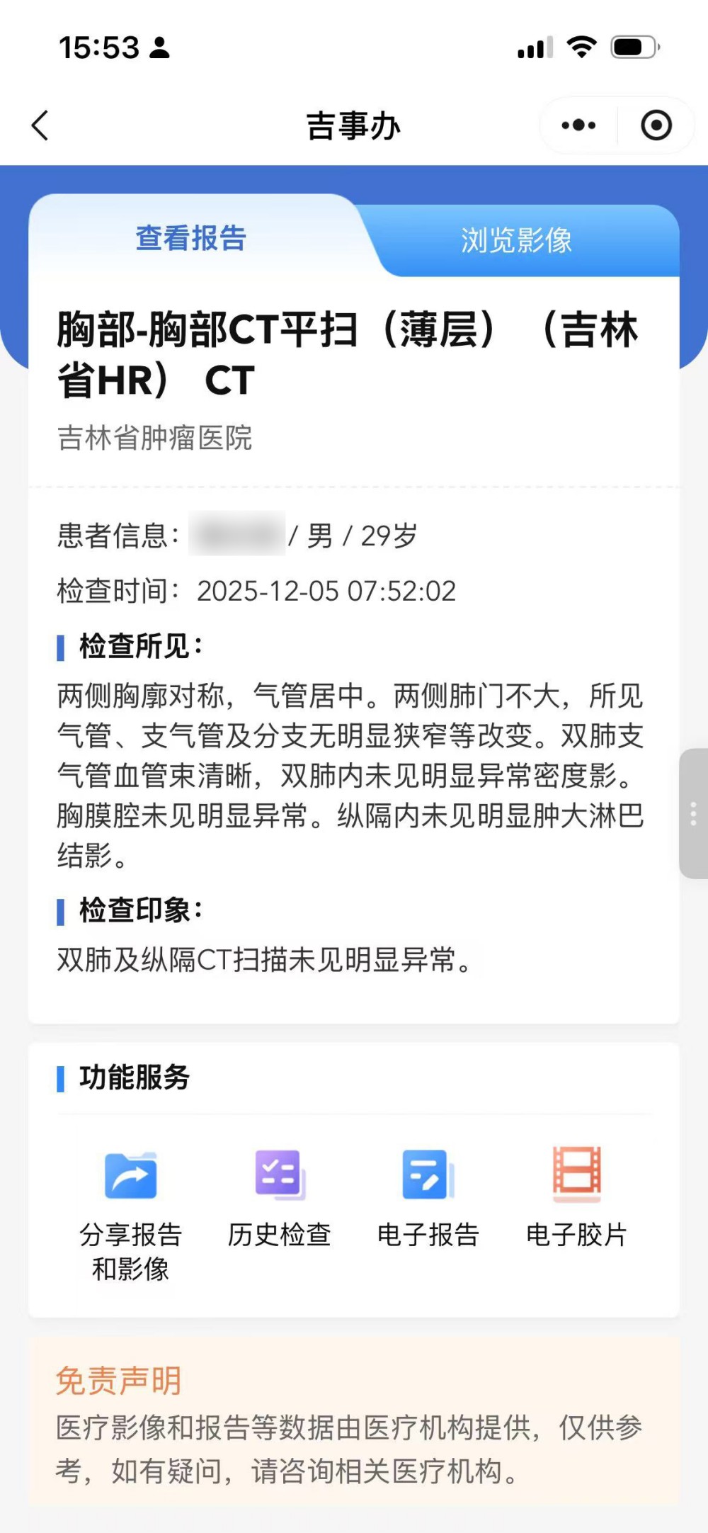
• 点击查看报告:阅读检查所见、检查印象等完整文字报告
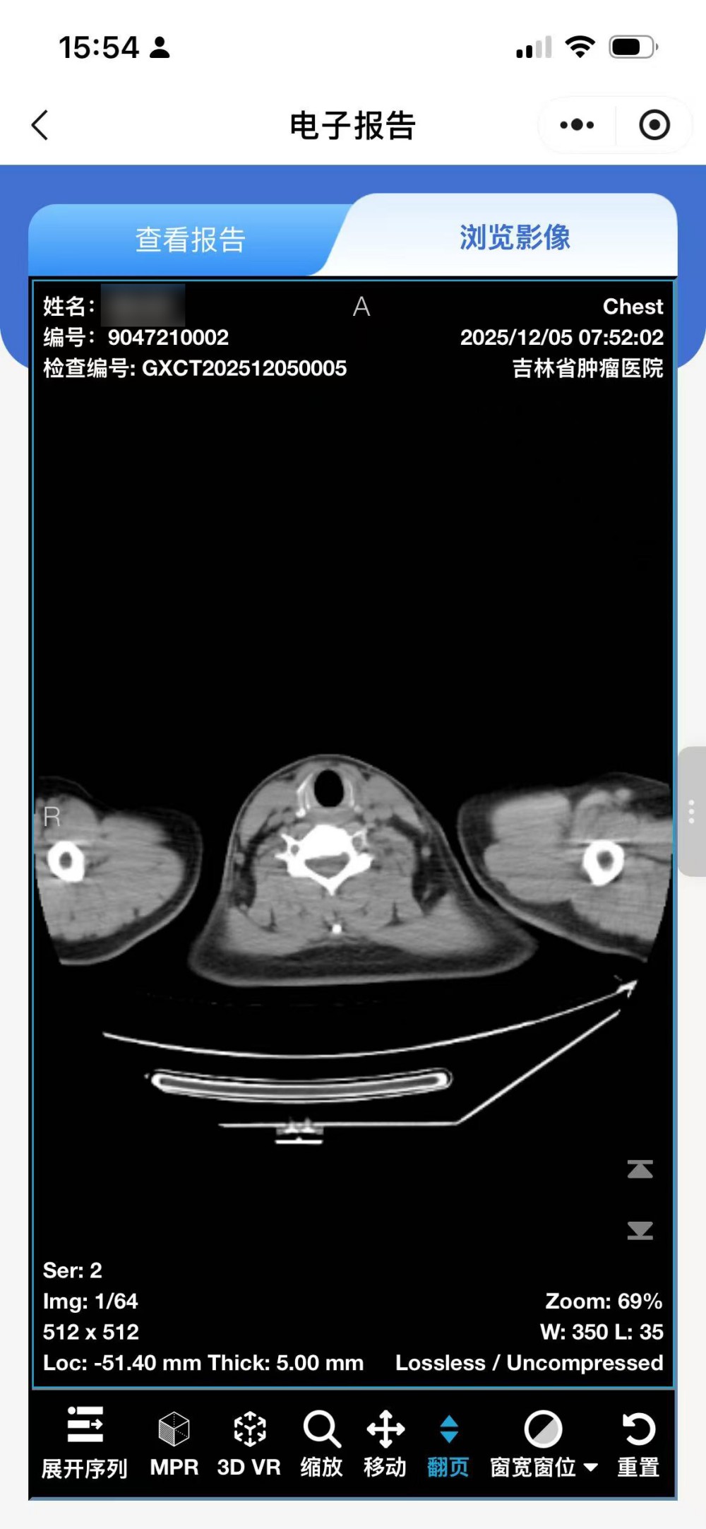
• 点击浏览影像:查看全套影像序列,可逐张浏览具体影像图




5.分享报告与影像(可选)
如需发送给医生或家属,点击分享报告和影像,按提示完成分享即可,分享链接有效期30天。

温馨提示
• 影像与报告数据由医院直接提供,仅供参考,如有疑问请咨询专业医师。
• 请妥善保护个人医疗信息,谨慎分享检查资料。
不用排队、不用跑腿,吉林省肿瘤医院联合吉事办,以更便捷、更智能的服务,优化您的就医体验。
发布科室:高新院区放射线科、信息科
来源:吉林省肿瘤医院
供稿:高新院区放射线科、信息管理中心
照片来源:信息管理中心
统稿编辑:宣传统战科
初审:孙双燕、刘同林
终审:梁长林